Friday Hope: Nattokinase: Enhancing Fibrinolytic and Amidolytic Activity but Degrading the Spike Protein in vivo?
A review of the literature – yet is it all we have, for now?
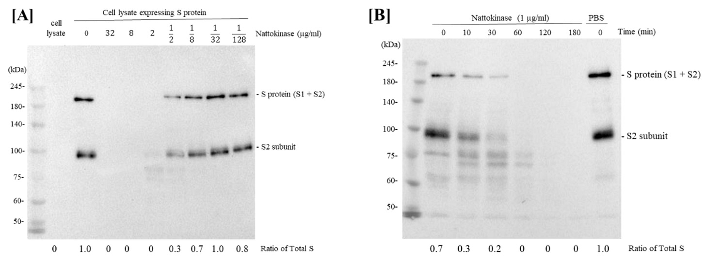
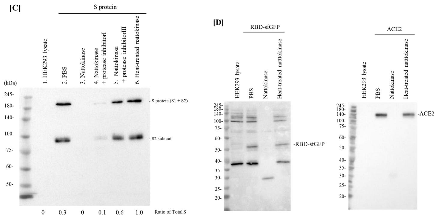
Figure 1. (A) Degradative effects of nattokinase in dose-dependent manner. Serial diluted nattokinase (32 µg/mL, 8 µg/mL, 2 µg/mL, 500 ng/mL, 125 ng/mL, 31.25 ng/mL, and 7.8125 ng/mL) were mixed with S protein expression cell lysate and incubated. Full length of S protein (S1 and S2 subunits) and S2 subunit were detected as upper and lower bands, respectively. Ratio of total S was indicated as the relative quantity of S protein (S protein + S2 protein). (B) Degradative effects of nattokinase in time-dependent manner. S protein expression cell lysate was incubated with 1 µg/mL nattokinase for 0, 10, 30, 60, 120, and 180 min. (C) Effects of heating treatment or protease inhibitors. Lane 1: HEK293 lysate; lane 2: HEK293 lysate (S protein); lane 3: HEK293 (S protein) + nattokinase (5 µg/mL); lane 4: HEK293 (S protein) + nattokinase (5 µg/mL) + Protease inhibitor I; lane 5: HEK293 (S protein) + nattokinase (5 µg/mL) + Protease inhibitor III; lane 6: HEK293 (S protein) + heat-treated nattokinase (5 µg/mL). (D) Degradative effect on RBD of S protein and ACE2. RBD of S protein and ACE2 coding plasmids were transfected with HEK293 cells, respectively. Cell lysates were incubated with nattokinase (7.5 µg/mL) and heat-treated nattokinase (7.5 µg/mL) and Western blotting was performed.
As many, if not all, of the readers of this Substack may be aware, an explosive (shouldn’t be, it certainly wasn’t to me) paper was accepted August 15th showing that in 50% of those tested that had taken a Spike Protein mRNA “vaccination,” Spike was still being expressed six months post. I, and many others, warned about this.
Detection of recombinant Spike protein in the blood of individuals vaccinated against SARS-CoV-2: Possible molecular mechanisms
https://onlinelibrary.wiley.com/doi/epdf/10.1002/prca.202300048
Therefore, it is more important than ever to find therapeutics which may eliminate or diminish the level of circulating Spike. The dilemma of a body potentially expressing Spike ad infinitum is a separate issue, which I will address in a future post.
Two papers, both by Japanese researchers, performed in vitro studies which showed that, indeed, nattokinase degraded the Spike Protein. One was published in the journal Biochemical and Biophysical Research Communications, Volume 570, 17 September 2021, Pages 21-25. It concludes:
In this study, we showed that the natto extract inhibited infectious ability of BHV-1 and SARS-CoV-2, to the cells and degraded the glycoprotein D of BHV-1 and the RBD protein of SARS-CoV-2. However, this inhibitory effect of the natto extract was impaired upon heating as well as treating with the serine-protease inhibitor. Hence, it is conceivable that this inhibitory effect was due to the putative heat-sensitive serine-protease(s). This is further supported by the evidence that the protease(s) was able to digest multi-sites of glycoprotein D and RBD protein. Therefore, our study suggests that the putative serine-protease(s) in natto may impair the infectious function of BHV-1 and SARS-CoV-2, probably through the proteolysis of its glycoprotein D and the spike protein, respectively.
Natto extract, a Japanese fermented soybean food, directly inhibits viral infections including SARS-CoV-2 in vitro
https://www.sciencedirect.com/science/article/pii/S0006291X21010718#sec1
The other study was published in the journal Molecules, Volume 27, Issue 17, and it reached the same conclusion. It is also the source of the above figure.
In this study, we demonstrated that nattokinase, a serine protease, degrades the S protein of SARS-CoV-2. To investigate whether nattokinase contained in natto extract could inhibit SARS-CoV-2 infection, we analyzed S protein degradation by mixing the S protein expression cell lysate and nattokinase in a dose- and time-dependent manner. The RBD of the S protein binds to the membrane-distal portion of the ACE2 protein. Natto extract has been reported to inhibit SARS-CoV-2 infection in Vero E6 cells via RBD degradation. We demonstrated that S protein degradation by nattokinase was blocked by heat or protein-inhibitor treatments. Our data suggest that the protease activity of nattokinase plays a crucial role in S protein degradation. Taken together, these findings support the notion that the inhibition of SARS-CoV-2 infection by natto extract was due to S protein degradation by nattokinase. Thus, our data indicated that nattokinase and natto extracts have potential effects on the inhibition of SARS-CoV-2 host cell entry via S protein degradation.
Degradative Effect of Nattokinase on Spike Protein of SARS-CoV-2
https://www.mdpi.com/1420-3049/27/17/5405
As readers of this Substack also know, I do not publish anything unless I can find definitive proof of its occurrence. I cannot find a study that demonstrates nattokinase has these effects in vivo. That is not to say it is not occurring, it is that I cannot demonstrate that it is. If anyone knows of a study proving this in vivo, please link in the comments. There is a reference to a study that came up empty handed, but I can only find a reference:
Nattokinase does seem to have interesting properties when tested in the laboratory, but it has yet to show clear benefits in humans, and the largest and longest clinical trial came up empty-handed on these promises. It is also still not clear what happens to nattokinase when taken by mouth. Nattokinase supplements, if properly manufactured, seem to be safe, although many researchers have pointed out the possibility (if nattokinase does work as promised) of a bleeding risk when combining it with anti-platelet or anti-coagulation medication.
Nattokinase’s Clot-Busting Promises Sway Scientists Who Should Know Better
https://www.mcgill.ca/oss/article/covid-19-critical-thinking-health-and-nutrition/nattokinases-clot-busting-promises-sway-scientists-who-should-know-better
However, I disagree with the “who should know better” point of the above article.
Regardless of its potential abilities to degrade the Spike Protein in vivo, I can report that Nattokinase (NK) does enhance fibrinolytic and amidolytic activity. These abilities alone are reason enough to consider its use.
NK can break down blood clots by directly hydrolyzing fibrin and plasmin substrate, converts endogenous prourokinase to urokinase (uPA), degrades PAI-1 (plasminogen activator inhibitor-1), and increases tissue plasminogen activator (t-PA) which supports fibrinolytic activity.
Nattokinase: An Oral Antithrombotic Agent for the Prevention of Cardiovascular Disease
https://www.ncbi.nlm.nih.gov/pmc/articles/PMC5372539/
The purified nattokinase digested not only fibrin but also several synthetic substrates. Among the synthetic substrates, the most sensitive substrate was Suc-Ala-Ala-Pro-Phe-pNA for subtilisin. PMSF inhibited both the fibrinolytic activity and the amidolytic activity. The results indicate that nattokinase is a subtilisin-like serine protease.
Purification and characterization of a strong fibrinolytic enzyme (nattokinase) in the vegetable cheese natto, a popular soybean fermented food in Japan
https://pubmed.ncbi.nlm.nih.gov/8280151/
I hope there will be a large study to definitely determine the abilities of NK to degrade the Spike Protein in vivo. Until then, its potential may currently be all we have.
I wish you all a joyous and blessed Labor Day weekend. Thank you for your invaluable support. As always, my aim is to publish relevant and accurate information. The above is a work of medical research and not medical advice. Please consult your Primary Care Provider before using any medicine or supplement.




Awesome post. Just a data point. On some days but not all (about half), I had "brain fog", which had detrimental effect on my ability to author substack articles.
A couple of months ago I started taking NAC and nattokinase. Not sure if it is a coincidence, but brain fog mostly went away. Then for a week or so I stopped for random reasons and brain fog returned. Now I am back taking it and things are better. Three of my recent articles ended up on infowars too, which I know is not entirely unrelated to cognitive functioning.
This brain fog is intermittent and therefore it is difficult to definitely point to the cause or effect. But on the days when I have it, I prefer not to publish because it could be a crappy article without me even realizing.
Thanks for bringing up this topic.
Mr. Chestnut, as a layperson in Medical/Chemical Research, I don't wish to sound foolish by telling you of reports concerning people in Okinawa having an extraordinary number of people over the age of 100. The documentary reported extreme levels of Serine derived from Natto food products as well as Sea Weed to be the one common factor uniting the whole population exhibiting tremendous vitality, flexibility, reasoning skills, wit, etc. They displayed a joy in life rare to witness at such advanced ages.
Your research as posted here appears consistent with the focus of the Documentary.
Sure enjoy your work...Anticipate it every day. Such a complement to Dr. Ana Mihalcea's research and Postings. Simply phenomenal soldiers on the Frontline.